Bryon’s Smile Makeover with Dental Crowns

CONTENTS

SHARE BLOG

Contact Us

At Perry Family Dentistry, we take pride in transforming our patients’ smiles and, in turn, their lives. Today, we share the story of Bryon, a long-term patient who experienced a remarkable smile makeover with Dr. Blake Perry.

Meet Byron

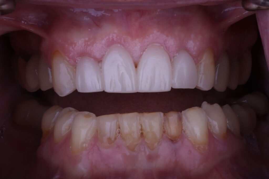
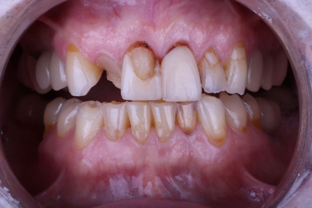
Bryon came to us with significant discomfort and sensitivity in his front teeth. Teeth #7 and #8 were fractured, and teeth #7-10 had extensive decay. Bryon was in constant pain and struggled with cold sensitivity. More than the physical discomfort, his dental issues severely impacted his self-confidence. Bryon, who is naturally happy and outgoing, found himself constantly covering his mouth and hesitant to smile.

Recognizing the need for a long-term solution that would not only restore Bryon’s dental health but also enhance his smile, Dr. Perry recommended crowns. Bryon desired a brighter smile, so we opted for A1 crowns, known for their bright, white appearance and high translucency.

Advanced Treatment

The treatment began with preparing Bryon’s teeth for the crowns. We used our advanced Cerec machine to scan Bryon’s mouth, ensuring the precise design and fit for his new crowns. The crowns were made from EMAX, a durable, glass-like material renowned for its longevity and aesthetic appeal. After meticulous preparation, we cemented the crowns with Unicem and light-cured them to secure their durability.

Our state-of-the-art Cerec machine was crucial in designing Bryon’s crowns with unparalleled accuracy. The EMAX material used for the crowns ensured a blend of strength and natural beauty, offering Bryon a smile that looks as good as it feels.

Astounding Results

The results of Bryon’s treatment were nothing short of transformative. The new crowns corrected his bite and gave him a smile he could be proud of. Bryon, who had previously been embarrassed to show his teeth, now beams confidently. His new smile has restored his true, authentic self—happy, outgoing, and unafraid to share his joy with the world.

Dr. Perry shared, “This patient has been a long-term loyal customer to us throughout the years. He had been wanting to fix his front teeth for quite a while but had a hard time trusting a doctor to do the work. I am so happy he trusted me, and we could not be more ecstatic about the results. He is smiling again, and the confidence in his smile just shines.”

Bryon himself couldn’t be happier with the outcome. He expressed, “I am so happy Dr. Perry gave me my smile back. I no longer have to hold back my smile, and I can be myself again.”

Achieve the Smile of Your Dreams

Bryon’s story is a testament to the life-changing impact of a healthy, beautiful smile. At Perry Family Dentistry, we are committed to providing our patients with exceptional care and results that enhance their quality of life. If you are ready to transform your smile, schedule a consultation with us today by calling (360) 424-3133 or using our online contact form. We look forward to helping you achieve the smile you’ve always wanted.

Scroll to Top